
.jpeg)
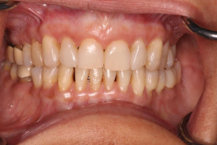
To begin the process, Dr. Stein will clean your teeth and numb your mouth. Then, she will remove a very thin layer of enamel from each tooth that’s getting a veneer. This must be done to make sure your veneers don’t add bulk to your smile.

Next, Dr. Stein will take images and impressions of your teeth. These will be sent to an outside dental lab, where your set of porcelain veneers will be built to fit perfectly onto your teeth. You’ll be sent home with a set of temporary veneers to protect your teeth.
.jpeg)
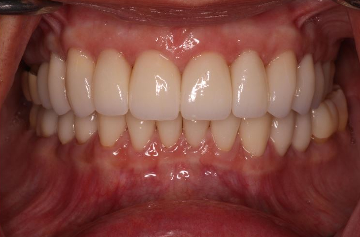
It usually takes a few weeks for the lab to complete your veneers. Once they're done, they’ll be sent to Sutter Dental Collective, and you’ll come back for your last appointment. Dr. Stein will remove your temporaries, clean your teeth, and then attach your veneers to your teeth permanently. You’ll be sent home to enjoy your brand-new, beautiful smile.
We are aiming to heighten your dental experience at every turn. This includes providing a wide variety of insurance and financing options for your convenience.
Explore Your OptionsWe are aiming to heighten your dental experience in San Francisco at every turn. This includes providing a wide variety of insurance and financing options for your convenience.

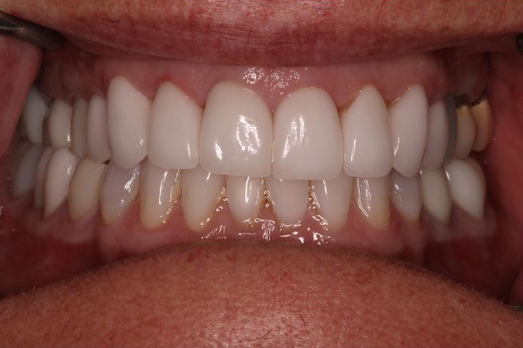
Veneers can treat almost any cosmetic issue, which is one of the reasons why they're so popular. They are frequently used to treat minor chips in teeth, uneven teeth, misshapen teeth, and severe tooth stains that can’t be treated with teeth whitening.
If your bite is healthy and you don’t need orthodontic treatment, veneers can also be used to treat things like gaps between the front teeth or slightly crooked teeth.

Looks and feels completely natural – Dr. Stein will choose a porcelain material that matches the surrounding teeth perfectly, and veneers are built to look, feel, and function just like “real” teeth.
Requires minimal care – To care for your veneers, you just need to maintain good at-home oral hygiene. Brush twice a day with fluoride toothpaste, floss once a day, eat a low-sugar diet, and see Dr. Stein in San Francisco for preventive care every six months. That’s it!
Durable and stain-resistant – The porcelain used for veneers is completely invulnerable to stains, and is just as durable as your natural teeth. This means your smile will look beautiful and bright for the years and decades to come.
Veneers typically have a lifespan of 10-20 years. Proper at-home oral hygiene, regular six-month visits to the dentist, and a tooth-healthy diet are the best way to keep your veneers and your natural teeth healthy. And if one of your veneers ever does fail or break, our San Fransisco dentist at 450 Sutter in San Francisco can easily replace the veneer and restore your smile.

.jpg)
.jpg)
%20(2).jpg)
%20(1).jpg)
%20(2).jpg)
%20(1).jpg)